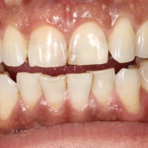
牙黃. 大牙縫

美牙,美的不只是一口牙而是點亮一個人的笑容,您的笑容,價值百萬,一個人自信愛笑的時候,運氣一定不會差!

別再忍受牙黃、茶漬、咖啡漬帶來的困擾

全瓷牙貼面幫你瞬間升級笑容,打造純天然透亮白牙,效果極致自然,一口潔白整齊的牙齒不僅是自信的象徵,還是吸引好運與人緣的秘密武器。如果你還在為牙黃、牙不齊、大牙縫煩惱,那你絕對不能錯過思邁皓齒深圳牙科
的牙貼面療程! 

全瓷牙貼面解決牙黃問題
牙黃問題
全瓷牙貼面解決牙黃、牙不齊、大牙縫問題
牙黃問題
全瓷牙貼面解決大牙縫問題
大牙縫問題
全瓷牙貼面解決牙黃、牙不齊、大牙縫問題
牙黃問題
全瓷牙貼面解決牙黃問題
牙黃問題
全瓷牙貼面解決大牙縫問題
牙黃問題大牙縫問題
全瓷牙貼面解決牙黃問題
牙黃問題
全瓷牙貼面解決牙黃、牙不齊、大牙縫問題
牙黃問題
全瓷牙貼面解決大牙縫問題
大牙縫問題
牙齒美白
二人同行優惠
每位即減 $1000

詳情請立即 WhatsApp 聯絡查詢